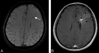
Essentially, developmental venous anomalies (DVAs) are larger-than-normal veins within the brain. The abnormality is congenital (present from birth) and occurs in 2 percent to 3 percent of the population. They do not run in families. Some DVAs are accompanied by a cavernous malformation.
Seldom does a DVA cause symptoms. When symptoms do occur, they are most likely related to an associated cavernous malformation, rather than the DVA itself. It is very rare that a DVA itself causes a seizure, headache or stroke.
Because the vast majority of the abnormalities do not cause symptoms, treatment is seldom recommended. Furthermore, removing or closing off a DVA often carries significant risk.
